
Case 1: polyp túi mật
Bệnh nhân nam, 52 tuổi đau nhói ở hạ sườn phải. Không có tiền căn bị
những cơn đau tương tự, không nôn ói, không sốt. Không có tiền căn sỏi mật.
Khám lâm sàng cho thấy bụng mềm, có phản ứng đau tại điểm McBurney. Không
có phản ứng dội.
Hình ảnh siêu âm cắt ngang của gan:
Gan có kích thước, độ hồi âm và mẫu hồi âm bình thường.

Hình cắt ngang túi mật
Thành túi mật có độ dày bình thường, d#3mm
Hình cắt dọc túi mật

Có khối hồi âm dày hình chiếc lá bên trong túi mật có kích thước 2.8 x 0.9
x 1.0 cm.
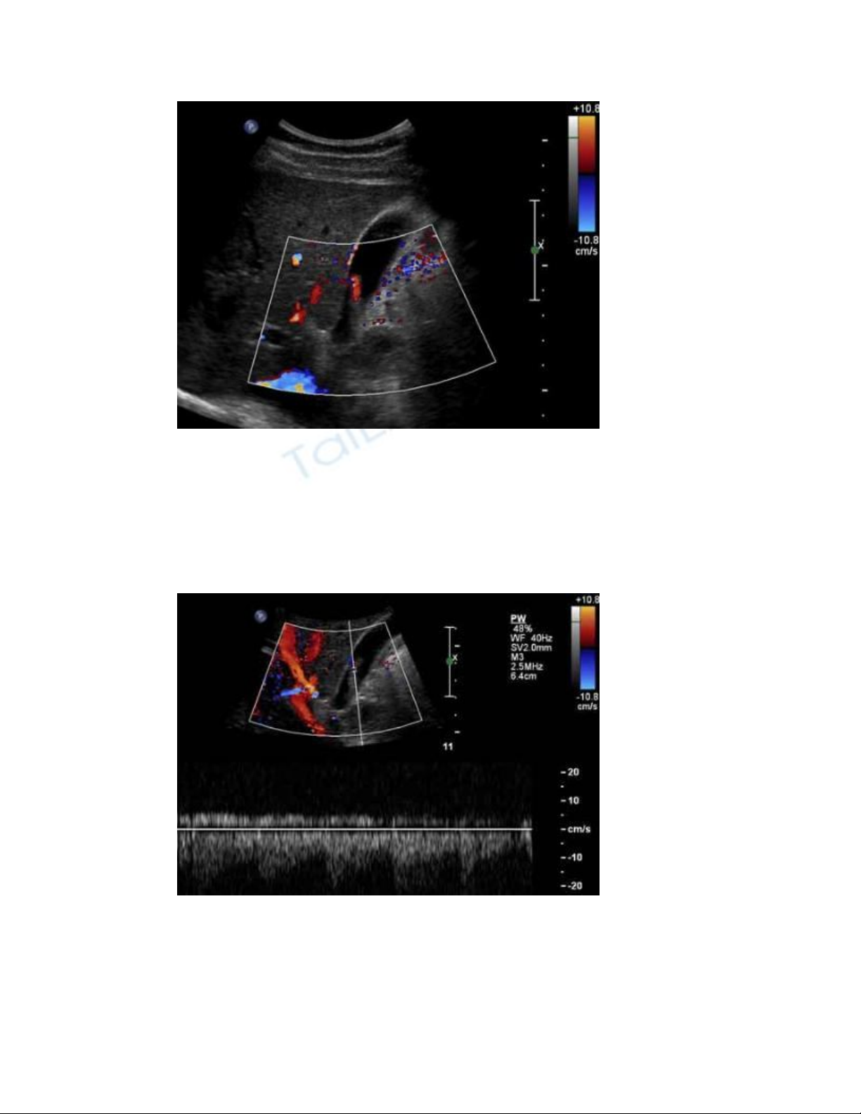
Hình cắt dọc túi mật với Doppler màu

Doppler màu cho thấy có dòng chảy bên trong khối này.
Hình cắt dọc túi mật với Doppler xung
Doppler xung xác nhận có cả dòng chảy của động mạch lẫn tĩnh mạch bên
trong khối.

CÁC CHẨN ĐOÁN PHÂN BIỆT
Polyp túi mật
Carcinoma túi mật
Cặn lắng túi mật có tính chất gây u.
U cơ tuyến cục bộ
THEO DÕI
Kết quả siêu âm nghi ngờ ác tính do đó bệnh nhân được đề nghị chụp CT.
CT mô tả khối này là polyp. Bệnh nhân từ chối tiếp tục điều trị.
Rafay Ahmed, MD | Ross Wank, MD

