
1
CT ĐÁNH GIÁ VIÊM RUỘT THỪA CẤP

2
27-10-2009 | admin | 1,350 views | 1 phản hồi »
TÓM TẮT
Có thể gặp khó khắn khiđưa ra chẩn đoán lâm sàng viêm ruột thừa
cấp. Ở phụ nữ tiền mãn kinh và người già, nhiều bệnh lý gồm phụ
khoa, có thể có triệu chứng lâm sàng giống viêm ruột thừa cấp.
Hiện nay, ngày càng có nhiều chẩn đoán viêm ruột thừa cấp dựa
vào CT, với 88% bệnh nhân được chụp CT trước khi cắt ruột thừa.
Trong bài này, chúng tôi sẽ bàn luận các hình ảnh CT của ruột thừa
bình thường và viêm ruột thừa, ý nghĩa của ruột thừa không nhìn
thấy được và vai trò của CT trong xử trí. Bài này chỉ đề cập đến
bệnh nhân người lớn.
Hình ảnh CT ruột thừa bình thường
Ruột thừa bình thường nằm ở hố chậu phải ở đáy manh tràng và có
chiều dài từ 0.6 đến 33cm. Thông thường nhất, ruột thừa nằm ở
phía sau manh tràng, nhưng vị trí có thể thay đổi. Việc nhận ra van
hồi manh tràng chứa mỡ là bước đầu tiên giúp định vị ruột thừa
(hình 1A). kế tiếp, đi theo manh tràng khoảng 2-3cm về phía dưới
đến đáy của nó thường xác định được lỗ ruột thừa (hình 1B). Việc
xác nhận ruột thửa bị tịt ở đầu tận (vì vậy không có mạch máu
hoặc đoạn cuối hồi tràng) là bước chính. Ở người lớn khoẻ mạnh
không bị viêm ruột thừa cấp, đường kính ruột thừa khi xẹp có thể
lên đến 7mm và đường kính lúc chướng hơi có thể đến 10mm.

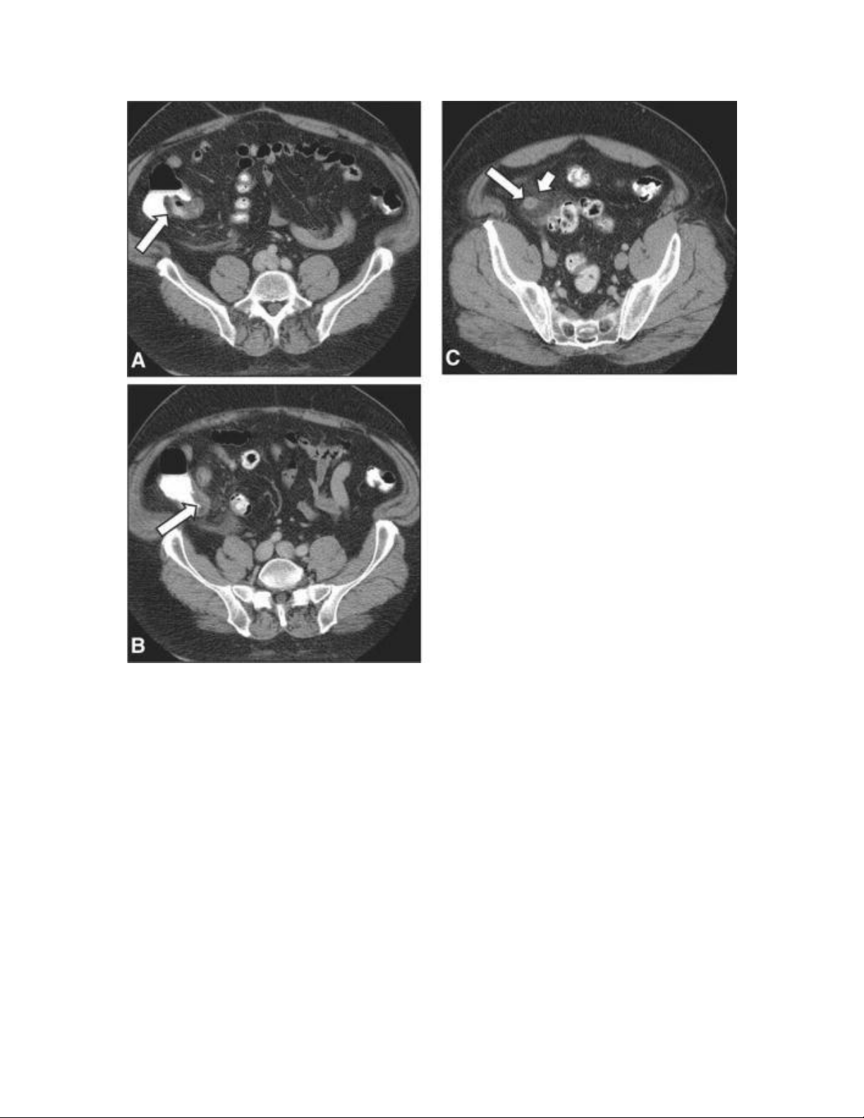
3
Hình 1. Viêm ruột thừa cấp. A và B: A nam 61 tuổi đau hố chậu
phải 1 ngày và buồn nôn. CT cản quang tĩnh mạch và đường uống
thấy van hồi manh tràng chứa mỡ (A, mũi tên) và lỗ ruột thừa ở
phía dưới một chút (B, mũi tên). C, ruột thừa (mũi tên dài) dày
thành và chướng đường kinh 14mm. Tăng đậm độ mỡ quanh ruột
thừa (mũi tên ngắn) chứng tỏ viêm quanh ruột thừa. Các dấu hiệu
CT phù hợp với viêm ruột thừa, được xác nhận lúc phẫu thuật và
bệnh học.
Hình ảnh CT của viêm ruột thừa cấp

4
Tiêu chuẩn chính để chẩn đoán viêm ruột thừa cấp trên CT là ruột
thừa chướng, thành dày và biến đổi viêm quanh ruột thừa. Ruột
thừa chường trên CT được định nghĩa khác nhau trên Y văn là
đường kính >=6mm hoặc >=8mm. Tuy nhiên trong một nghiên
cứu 244 bệnh nhân có bằng chứng bệhn học viêm ruột thừa cấp
được chụp CT đa lát cắt trước phẫu thuật, Bixby và cs. thấy đường
kính của viêm ruột thừa cấp từ 4mm đến 22mm. Vì có sự trùng lắp
đáng kể giữa đường kính rột thừa bình thường và ruột thừa viêm,
nên việc chỉ dựa vào đường kính mà không tính đến sự có mặt hay
không có các thay đổi viêm quanh ruột thừa có thể dẫn đến đọc
dương tính giả trên CT.
Việc đánh giá có hay không có viêm quanh ruột thừa có thể được
thực hiện bằng cách so sánh đậm ộ mỡ quanh ruột thừa với đậm độ
mỡ ở nơi nào đó trong vùng bụng chậu. Việc xác định có hay
không có viêm quanh ruột thừa được chỉ ra bằng sự tăng đậm độ
mỡ quanh ruột thừa (hình 1C) có thể gặp khó khăn ở bệnh nhân có
ít mỡ trong ổ bụng.
Bắt buộc phải đánh giá toàn bộ chiều dài ruột thừa vì viêm có thể
xảy ra chỉ ở đỉnh ruột thừa (viêm ruột thừa “đỉnh”, hình 2). Viêm
phần còn lại của ruột thừa sau khi cắt ruột thừa không hoàn toàn
(viêm” mỏm sót” ruột thừa, hình 3 ).

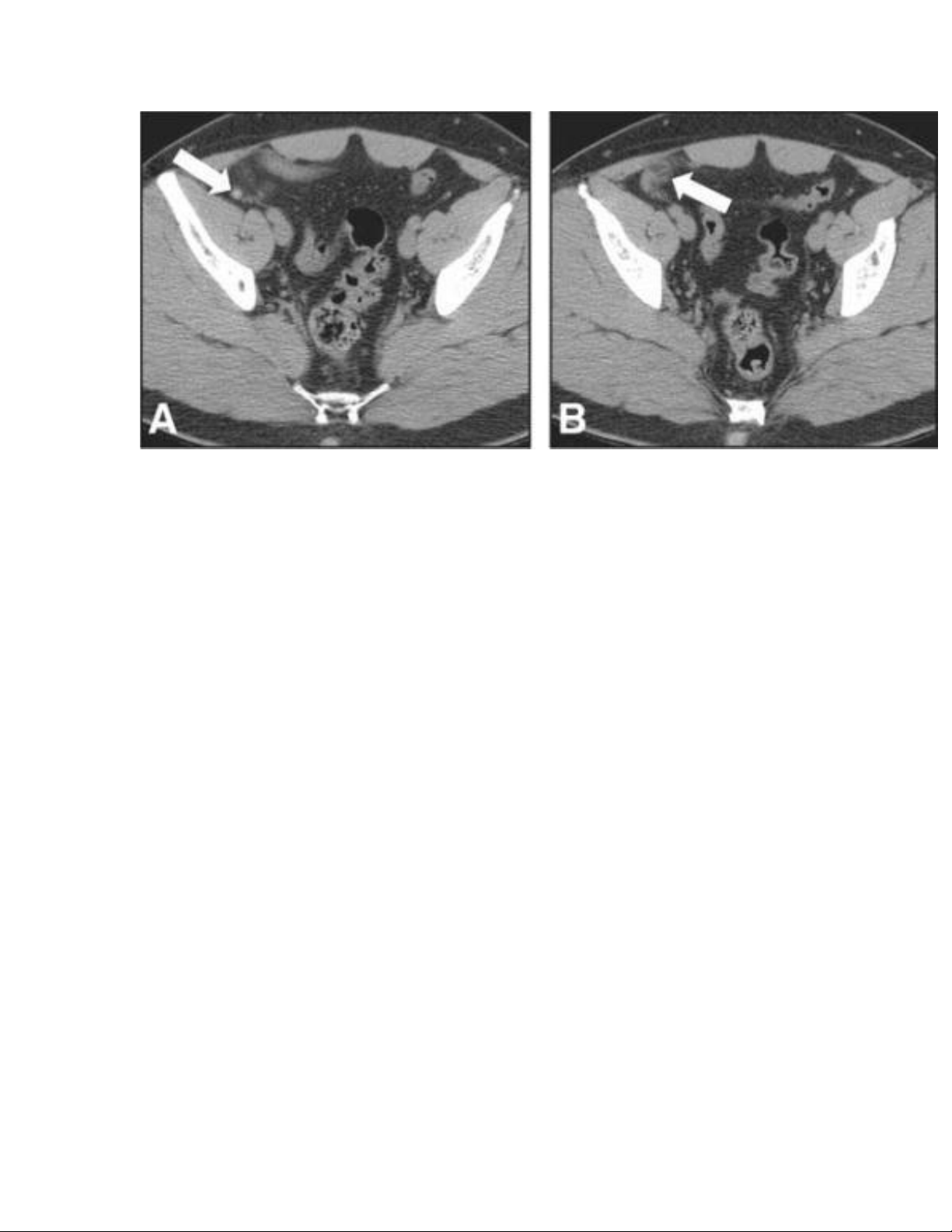
5
Hình 2. Viêm đỉnh ruột thừa. Nam 23 tuổi đau bụng. A. CT không
cản qaung tĩnh mạch hoặc đường uống thấy ruột thừa bình thường
ở phẩn gần và phần giữa (mũi tên). C, tăng đậm độ mỡ quanh ruột
thừa ở phần xa (mũi tên) phản ảnh viêm đỉnh ruột thừa . Ruột thừa
có đỉnh hoại thư thấy lúc phẫu thuật.

