
Viêm tuỵ cấp và mãn tính
(Kỳ 3)
Sau đây là một số hình ảnh minh hoạ
Tuyến tuỵ: Đầu, cổ, thân, đuôi tuỵ

Tuyến tuỵ

Sỏi kẹt đoạn cuối ống mật chủ gây viêm tuỵ
Các vị trí hình thành sỏi mật

Viêm tuỵ hoại tử

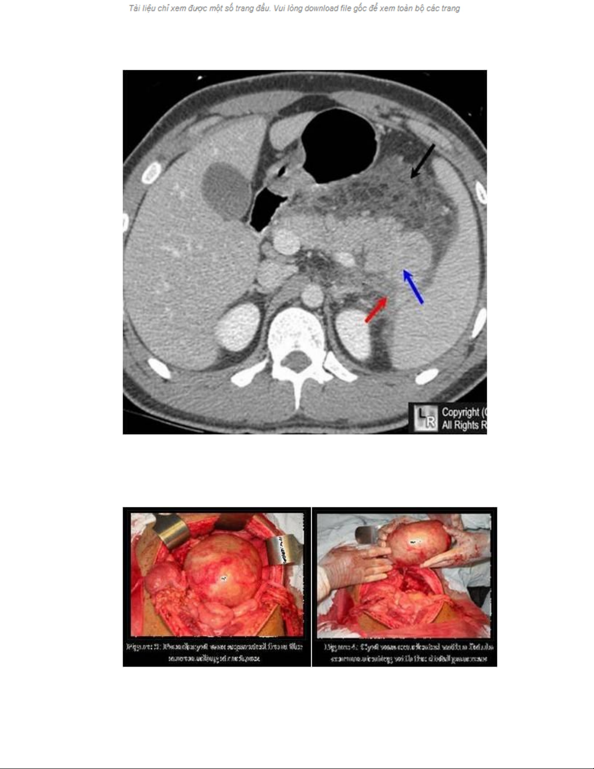
Hình ảnh nang giả tuỵ trên CAT-scan

