

MỤC TIÊU
1. Mô tả và phân tích 05 loại u xuất phát từ
thượng mô phủ buồng trứng
2. Mô tả và phân tích 02 loại u tế bào mầm
buồng trứng.
3. Mô tả và phân tích u mô đệm dục
4. Mô tả và phân tích u Krukenberg

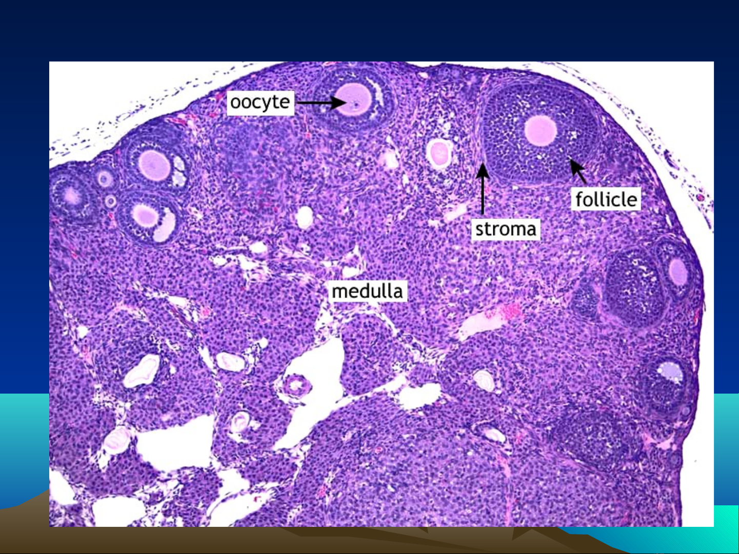
GIẢI PHẪU

MÔ HỌC

BIỂU MÔ PHỦ BUỒNG TRỨNG
Bài giảng Bệnh học buồng trứng được biên soạn nhằm mục tiêu giúp cho các bạn có thể mô tả và phân tích 05 loại u xuất phát từ thượng mô phủ buồng trứng, 02 loại u tế bào mầm buồng trứng, u mô đệm dục, u Krukenberg. Mời các bạn tham khảo bài giảng để hiểu rõ hơn về những nội dung này.




