
CHƯƠNG III. CÁC PHƯƠNG PHÁP TÁCH VÀ
CÔ ĐẶC SẢN PHẨM

Các phương pháp tách và cô đặc
1. Phương pháp lọc màng
2. Phương pháp trích ly
3. Phương pháp kết tủa
4. Phương pháp hấp phụ và trao đổi ion

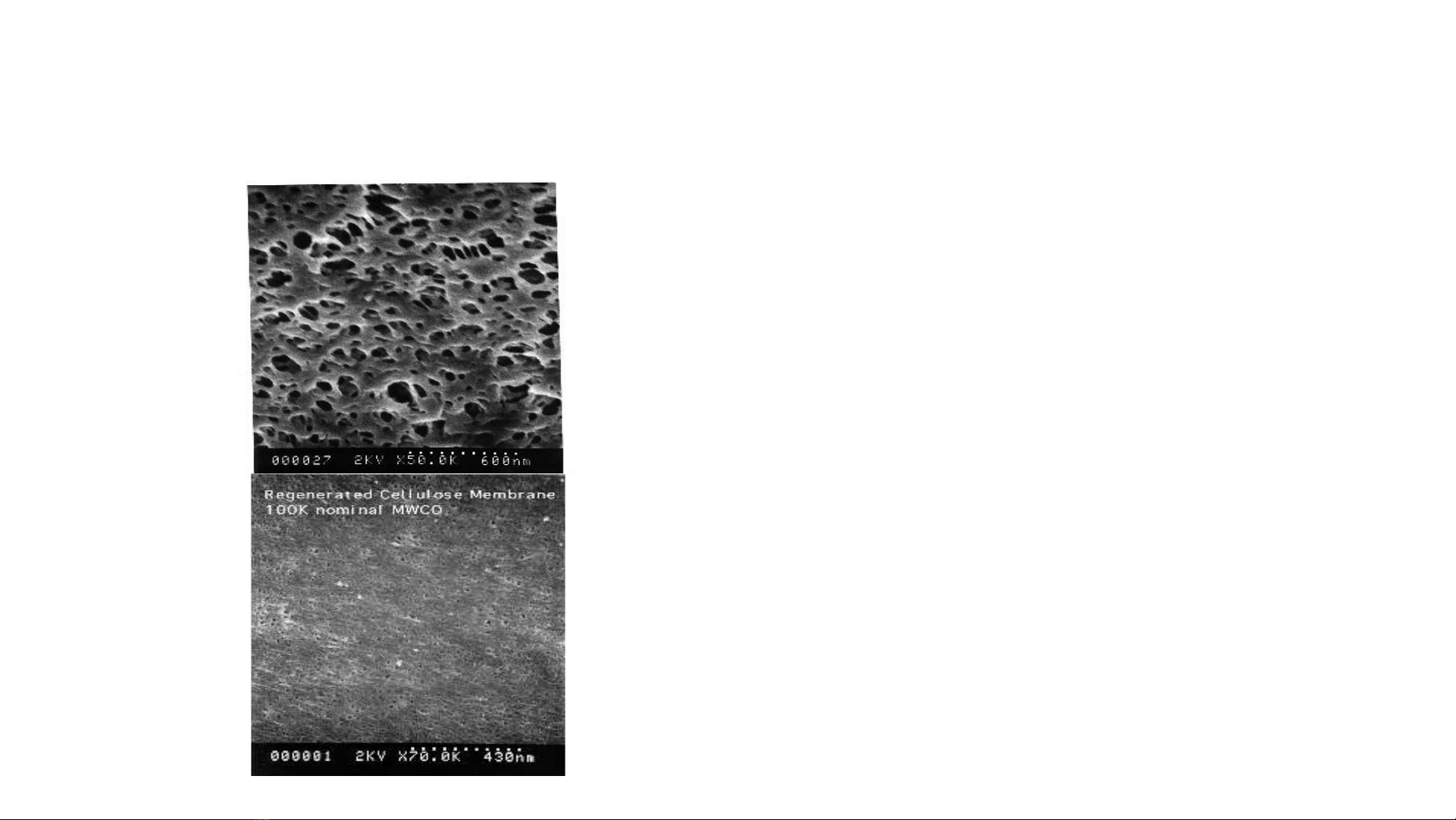
3.1. PHƯƠNG PHÁP LỌC MÀNG
Màng là vật liệu dùng để phân
tách các chất một cách chọn
lọc
Màng có thể từ polyme, gốm, các
sợi cacbon, và cơ chất kim loại
xốp

Khái niệm lọc màng
• Dịch lọc qua gọi là dịch thẩm thấu (Permeate-Filtrate)
• Dịch còn lại gọi là dịch cô đặc (retentate-Concentrate)

•Lực đẩy qua màng (e.g., áp suất, khuyếch tán, từ
trường, etc.)
•Một vài các chất (chất tan, dung môi) đi qua màng,
một vài chất khác ko hay rất chậm
•Việc thẩm thấu chọn lọc là cơ sở của phương pháp
lọc màng
Khái niệm lọc màng

