
27
BAÙO CAÙO TRÖÔØNG HÔÏP LUPUS TOÅN THÖÔNG HEÄ THAÀN
KINH TRUNG ÖÔNG
Nguyeãn Baù Thaéng1
Toùm taét:
Beänh nhaân nöõ, 32 tuoåi, thai laàn 2 vôùi phuø toaøn thaân, taêng huyeát aùp ñaõ ñöôïc chaån ñoaùn vieâm
caàu thaän caáp, sanh non tuaàn thöù 28, haäu saûn ngaøy thöù 22 ñoät ngoät nhöùc ñaàu, môø maét, co
giaät. Sau nhaäp vieän huyeát aùp cao trung bình, tænh vaø hoài phuïc toát. Ñuû tieâu chuaån chaån ñoaùn
lupus vôùi co giaät, thieáu maùu nheï, tieåu ñaïm, traøn dòch maøng phoåi, maøng ngoaøi tim, khaùng theå
khaùng nhaân vaø LE cell döông tính. Hình aûnh hoïc coù toån thöông voû döôùi voû vuøng thaùi döông
chaåm hai beân, keøm vôùi hình aûnh maïch maùu to nhoû töøng ñoaïn treân coäng höôûng töø, khoâng coù
daáu hieäu toån thöông tónh maïch. Chaån ñoaùn ñöôïc nghó ñeán nhieàu nhaát laø lupus ñoû heä thoáng
daãn ñeán vieâm caàu thaän vaø toån thöông thaàn kinh tröïc tieáp hoaëc giaùn tieáp thoâng qua beänh naõo
do taêng huyeát aùp.
Summary:
A 32-year-old woman having hypertension and edema during the second pregnancy, with
documented glomerulonephritis, was presented at 22th day postpartum with headache,
seizure and transient lost of consciousness. The blood pressure was moderately high on
admission, and the patient neurological status recovered rapidly. The criteria to diagnosis
of systemic lupus erythematosus were fullfilled with seizure, mild anemia and
lymphocytopenia, pleural and pericardial effusion, positive antinuclear antibody and LE
cell. The cerebral MR imaging showed cortico-subcortical lesions in the bilateral occipito-
temporal regions, along with segmentalarterial stenosis on cerebral MRA, without sign of
venous system involvement. The most likely diagnosis was systemic lupus erythematosus
resulting in glomerulonephritis and cerebral lesion as a direct effect of lupus or indirectly
through hypertensive encephalopathy.
Beänh aùn:
Beänh nhaân Nguyeãn Thò PT, nöõ, 32 tuoåi, nhaäp vieän ngaøy 22/03/2006 vì hoân meâ sau co giaät.
Khai thaùc tieàn söû khoâng ghi nhaän tieàn caên taêng huyeát aùp, co giaät; khoâng coù beänh khôùp,
khoâng phuø. Ghi nhaän coù hieän töôïng toùc khoâ deã ruïng gaàn ñaây (trong thai kyø naøy).
Veà tieàn caên saûn khoa, beänh nhaân ñaõ mang thai 2 laàn; laàn ñaàu song thai, trong thai kyø
khoâng ghi nhaän phuø, khoâng taêng huyeát aùp; sanh thöôøng, thieáu thaùng (8 thaùng röôõi), moät con
khoâng giöõ ñöôïc, chæ ñöôïc moät con soáng, hieän con 9 tuoåi.
1 BSCKI, boä moân Thaàn Kinh, ÑHYD TPHCM

28
Trong thai kyø laàn hai baét ñaàu xuaát hieän phuø toaøn thaân töø tuaàn 20 (thaùng 1/2006), khaùm taïi
beänh vieän Chôï Raãy, ñöôïc chaån ñoaùn vieâm caàu thaän, thieáu maùu, vaø quaù trình theo doõi coù
taêng huyeát aùp.
Ñeán ngaøy 01/3/06, luùc thai ñöôïc 28 tuaàn, beänh nhaân bò vôõ oái neân ñöôïc ñöa vaøo beänh vieän
Töø Duõ, sau ñoù sanh non khoâng giöõ ñöôïc con. Beänh nhaân ñöôïc xuaát vieän sau sanh 6 ngaøy,
luùc xuaát vieän khoâng soát, coøn phuø toaøn thaân, thænh thoaûng nhöùc ñaàu nheï.
Ñeán 17 giôø ngaøy 22/03/06, töùc haäu saûn ngaøy thöù 22, beänh nhaân ñoät ngoät nhöùc ñaàu, môø maét,
co giaät (thaân nhaân khoâng moâ taû ñöôïc roõ tính chaát côn), coù baát tænh, vaø ñöôïc ñöa vaøo nhaäp
vieän taïi trung taâm y teá quaän 7, sau ñoù chuyeån beänh vieän Chôï Raãy.
Khaùm laâm saøng taïi trung taâm y teá quaän 7 ghi nhaän tænh, huyeát aùp cao 150/110 mmHg. Taïi
beänh vieän Chôï Raãy ghi nhaän huyeát aùp cao, luùc nhaäp vieän laø 160/100 mmHg, sau ñoù dao
ñoäng töø 140.80 ñeán 180/100 mmHg. Beänh nhaân tænh, coù soát 380C, coå meàm, ñoàng töû ñeàu,
coøn phaûn xaï aùnh saùng, khoâng baùn manh, khoâng roái loaïn chöùc naêng cao caáp, khoâng baát
thöôøng caùc daây soï, yeáu nheï töù chi, söùc cô 4+/5. Veà toång quaùt coù phuø maët vaø toaøn thaân, aán
loõm, khaùm tim, phoåi, buïng khoâng coù baát thöôøng.
Caùc xeùt nghieäm caän laâm saøng laàn löôït ñöôïc thöïc hieän vôùi caùc keát quaû chính nhö sau:
- Coâng thöùc maùu: thieáu maùu nheï vaø giaûm nheï baïch caàu
HC 3,59 trieäu/mm3; Hb 104 g/L; Hct 32,6%
BC 4500/mm3; Lympho 1000/mm3
TC 132000/mm3
- Ñöôøng huyeát 102 mg/dL; BUN 14 mg/dL; Creatinin 0,9 mg/dL
- Ion ñoà maùu: Na 136 mEq/L; K 3,73 mEq/L
- Chöùc naêng gan khoâng baát thöôøng (ALT 6 U/L; AST 26 U/L; Bilirubin 0,2 mg/dL).
- Bilan lipid maùu coù taêng nheï cholesterol (chol) vaø triglyceride (TG): Chol toaøn phaàn
296 mg/dL; HDL 27 mg/dL; LDL 186 mg/dL; TG 413 mg/dL.
- LE cell (+); HIV (-); ANA (+) 3200/0,471
- VS 26 – 52 mm (giôø ñaàu – giôø 2); CRP 1,1 mg/l
- Toång phaân tích nöôùc tieåu coù tieåu ñaïm vaø tieåu maùu:
Ñaïm nieäu: 500 mg/dL
Hoàng caàu (+++), caën HC 250/μl, BC 25/μl
- Ñieän naõo: type alpha nhanh, thaáp, töøng luùc coù ñôït hoaït ñoäng chaäm gaàn toaøn theå roõ ôû
phía tröôùc hôn phía sau vaø beân traùi öu theá hôn phaûi.
- Sieâu aâm buïng: beänh lyù chuû moâ 2 thaän caáp, khoâng ascite, khoâng traøn dòch maøng
phoåi.

29
- ECG: nhòp xoang nhanh 110l/p
- Sieâu aâm tim: daøy ñoàng taâm thaát traùi, hôû van 2 laù nheï, traøn dòch maøng ngoaøi tim
löôïng ít, khoâng cheøn eùp tim; EF 58%.
- X quang phoåi ghi nhaän traøn dòch maøng phoåi phaûi nheï.ï
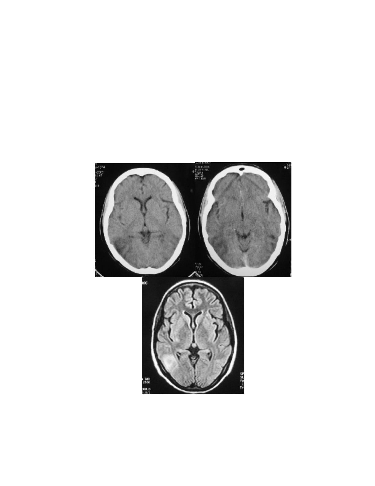
- CT scan naõo: Giaûm ñaäm ñoä khoâng ñoàng nhaát vuøng ñính chaåm hai beân, beân phaûi roõ
hôn beân traùi; khoâng baét thuoác caûn quang, khoâng thaáy hình delta troáng.
- MRI naõo: toån thöông nhieàu oå vuøng ranh giôùi ñoäng maïch naõo giöõa – ñoäng maïch naõo
sau phaûi, vaø vuøng saâu hai beân
- MRA: Heïp ñoäng maïch naõo giöõa P, caùc ñoäng maïch naõo ñöôøng kính khoâng ñeàu, to
nhoû töøng ñoaïn.

30
Hình 1: Hình aûnh CT, MRI, MRA, vaø MRV cho thaáy toån thöông vuøng chaåm phaûi > traùi, ñoäng
maïch to nhoû nhieàu ñoaïn, vaø tónh maïch khoâng coù baát thöôøng.
TOÙM TAÉT
o Haäu saûn
o Phuø toaøn thaân trong thai kyø
o Huyeát aùp cao
o Côn goàng, giaät, roái loaïn yù thöùc
o Soát
o Toùc khoâ, deã ruïng
o Tieåu ñaïm, tieåu maùu, tieàn caên vieâm caàu thaän
o Sieâu aâm: beänh lyù chuû moâ hai thaän caáp
o Thieáu maùu nheï, giaûm baïch caàu lympho.
o Traøn dòch maøng phoåi, traøn dòch maøng ngoaøi tim
o LE cell (+); ANA (+)
o VS taêng nheï, CRP taêng nheï
VAÁN ÑEÀ:
1. Vieâm caàu thaän: tieàn caên coù vieâm caàu thaän, laâm saøng coù soát, tieåu ñaïm, tieåu
maùu, sieâu aâm beänh chuû moâ hai thaän caáp.
2. Beänh lyù toaøn thaân: lupus ñoû heä thoáng
Toùc khoâ, deã ruïng
Traøn dòch maøng phoåi, maøng ngoaøi tim

31
Thieáu maùu nheï, giaûm baïch caàu lympho
ANA (+)
LE cell (+)
3. Tieàn saûn giaät, saûn giaät: haäu saûn, phuø vaø taêng huyeát aùp trong thai kyø, tieåu
ñaïm, co giaät.
4. Toån thöông thaàn kinh:
Do saûn giaät
Beänh naõo do taêng huyeát aùp
Huyeát khoái tónh maïch
Toån thöông thaàn kinh do lupus
Beänh nhaân coù vieâm caàu thaän bieåu hieän baèng caùc daáu chöùng laâm saøng nhö soát, tieåu ñaïm,
tieåu maùu vi theå, vaø coù tieàn caên beänh töông töï. Do ñoù ñaây laø vaán ñeà thöïc söï toàn taïi treân
beänh nhaân naøy.
Beänh lyù toaøn thaân laø moät vaán ñeà caàn ñöôïc nghó tôùi khi beänh nhaân bieåu hieän trieäu chöùng
nhieàu cô quan nhö phuø, taêng huyeát aùp, traøn dòch maøng phoåi, maøng ngoaøi tim, thieáu maùu.
Caùc xeùt nghieäm tieáp theo cho keát quaû döông tính nhö khaùng theå khaùng nhaân vaø LE cell
phoái hôïp vôùi caùc tieâu chuaån laâm saøng treân ñaõ ñuû thoaû maõn tieâu chuaån chaàn ñoaùn lupus ñoû
heä thoáng nhö trình baøy trong baûng 1. Nhö vaäy beänh nhaân coù beänh lyù toaøn thaân laø lupus ñoû
heä thoáng.
Vaán ñeà tieàn saûn giaät, saûn giaät: trong thai kyø beänh nhaân coù taêng huyeát aùp, phuø, vaø tieåu ñaïm,
coù theå nghó ñeán tieàn saûn giaät. Veà thaùi ñoä xöû trí luùc coøn mang thai, beänh nhaân vôùi caùc trieäu
chöùng nhö vaäy caàn ñöôïc ñieàu trò vôùi chaån ñoaùn naøy ñeå ñeà phoøng caùc bieán coá nguy hieåm
cho meï vaø con. Tuy nhieân khi xeùt laïi, chuùng ta coù theå thaáy caùc trieäu chöùng naøy coù theå laø
moät phaàn cuûa vieâm caàu thaän, cuøng vôùi trieäu chöùng tieåu maùu voán khoâng coù trong tieàn saûn
giaät ñôn thuaàn. Thôøi ñieåm ñoù beänh nhaân ñaõ ñöôïc khaùm vaø xaùc ñònh chaån ñoaùn vieâm caàu
thaän taïi moät beänh vieän lôùn neân chaån ñoaùn ñoù coù theå ñaùng tin caäy. Sau sanh, côn giaät xaûy ra
vaøo thôøi ñieåm haäu saûn ngaøy thöù 22, tuy vaãn coøn trong khoaûng thôøi gian chaáp nhaän ñöôïc
cho saûn giaät nhöng ñoä tin caäy ñaõ giaûm nhieàu, thay vaøo ñoù co giaät nhieàu khaû naêng hôn laø do
caùc beänh lyù khaùc coù hoaëc khoâng coù lieân quan ñeán thai kyø. Nhö vaäy tieàn saûn giaät vaø saûn giaät
laø moät khaû naêng coù theå xaûy ra, nhöng cô hoäi khoâng cao.
Caùc toån thöông thaàn kinh treân laâm saøng (co giaät, roái loaïn yù thöùc) vaø hình aûnh hoïc (toån
thöông voû naõo – döôùi voû vuøng thuyø chaåm, thaùi döông sau hai beân) treân cô ñòa beänh nhaân coù
beänh toaøn thaân, vieâm caàu thaän vaø haäu saûn gôïi yù ñeán caùc khaû naêng sau:
o Toån thöông naõo lieân quan ñeán saûn giaät

