
HẸP EO ĐỘNG MẠCH CHỦ
(Kỳ 1)
Là bệnh tim bẩm sinh (TBS) cũng thờng gặp, chiếm khoảng 8% các bệnh
TBS. Cần phát hiện sớm ở trẻ sơ sinh hay ở trẻ nhỏ vì là bệnh nguy hiểm có thể
dẫn đến tử vong. Chẩn đoán lâm sàng thờng dựa vào dấu hiệu không có hay yếu
của mạch bẹn so với mạch cánh tay, tiếng thổi tâm thu thờng khá điển hình. Hẹp
eo ĐMC rất hay đi kèm với các bệnh TBS phức tạp khác mà đặc biệt hay gặp
trong hội chứng Turner (20%), hội chứng Noonan.
Các biến chứng muộn của bệnh có thể gặp là phình mạch tại chỗ hẹp, tách
thành động mạch chủ lên, giãn phình và vỡ các mạch máu não, tăng huyết áp động
mạch. Tăng huyết áp có thể còn tồn tại ngay cả sau khi phẫu thuật sửa chữa toàn
bộ đặc biệt ở các bệnh nhân can thiệp muộn.
I. Giải phẫu bệnh
A. Đại đa số các trờng hợp hẹp eo ĐMC nằm ở ngay trớc vị trí xuất phát
của ống động mạch nghĩa là ở gần sát với chỗ bắt đầu của ĐMC xuống. Thờng
gặp có sự phì đại, co thắt ở thành sau của ĐMC gây hẹp lòng mạch ĐMC ở vị trí
này. Cũng có thể gặp sự thiểu sản của eo ĐMC với các mức độ khác nhau. Bệnh

có thể đột ngột hoặc từ từ dẫn đến suy tim ứ huyết ở trẻ nhỏ. Động mạch dới đòn
trái thờng xuất phát ngay gần chỗ hẹp của eo ĐMC. Trong một số hiếm các trờng
hợp, vị trí hẹp nằm ở ĐMC ngực hay ĐMC bụng.
B. Tuần hoàn bàng hệ thờng gặp ở bệnh nhân lớn tuổi. Điển hình nhất là
xuất phát từ động mạch dới đòn, động mạch vú trong, gian sờn, động mạch giáp
trạng xuống, động mạch chủ xuống sau chỗ hẹp eo động mạch chủ.
C. Các tổn thơng phối hợp: đa số là các bất thờng của buồng tim trái; van
ĐMC có 2 lá van chiếm khoảng 50% các trờng hợp, hẹp dới van ĐMC, bất thờng
hình dạng van 2 lá (hội chứng Shone), TLT, ống nhĩ thất chung, tâm thất duy nhất,
bất thờng chỗ xuất phát của động mạch dới đòn phải.
II. Sinh lý bệnh
Hẹp eo ĐMC dẫn đến tăng huyết áp với sự chênh lệch huyết áp tâm thu ở
tay và chân. Tăng hậu gánh do đó dẫn đến phì đại thất trái và cuối cùng dẫn đến
giãn buồng tim trái và suy tim trái dẫn đến suy tim toàn bộ với tăng áp ĐMP. Hẹp
eo ĐMC mạn tính sẽ dẫn đến hiện tợng phát triển tuần hoàn bàng hệ từ ĐMC lên
sang ĐMC xuống.
III. Triệu chứng lâm sàng

A. Dấu hiệu cơ năng: Hẹp eo động mạch chủ phát hiện đợc ở ngời lớn th-
ờng bởi dấu hiệu tăng huyết áp, đau đầu hay là dấu hiệu đau cách hồi. Đối với các
bệnh nhân trẻ tuổi hay phải nhập viện vì các đợt suy tim ứ huyết.
B. Triệu chứng thực thể
1. Mạch chi trên nảy mạnh hơn nhiều so với mạch chi dới. Những trờng
hợp hẹp nặng có thể không thấy mạch bẹn. Tuy nhiên ở một số trờng hợp mà động
mạch dới đòn trái xuất phát từ ngay chỗ hẹp của eo ĐMC thì mạch quay trái cũng
không có hoặc yếu nh động mạch bẹn. Còn trờng hợp động mạch dới đòn phải
quặt ngợc thực quản, mạch cánh tay phải cũng nhỏ và ĐM cảnh phải đập rất mạnh.
2. Huyết áp chi trên thờng tăng tỷ lệ thuận với mức độ hẹp eo ĐMC. Cần
phải đo huyết áp ở tay bên phải, thờng thích ứng tốt khi huyết áp tâm thu cha vợt
quá 150mmHg.
3. Tiếng thổi tâm thu thờng nghe thấy ở vùng dới đòn bên trái, có thể lan
ra lng ở vị trí cạnh cột sống. Ngoài ra có thể nghe thấy các tiếng thổi liên tục do
tuần hoàn bàng hệ gây ra. Trong các trờng hợp phối hợp với van động mạch chủ
có hai lá van chúng ta có thể nghe thấy tiếng thổi tâm trơng, thổi tâm thu do hở,
hẹp van ĐMC gây nên.
IV. Các xét nghiệm chẩn đoán

A. Điện tâm đồ: Thờng có dấu hiệu tăng gánh thất trái. Nếu có dấu hiệu
tăng gánh thất phải ở những bệnh nhân hơn 2 tuổi thì cần tìm các tổn thơng phối
hợp.
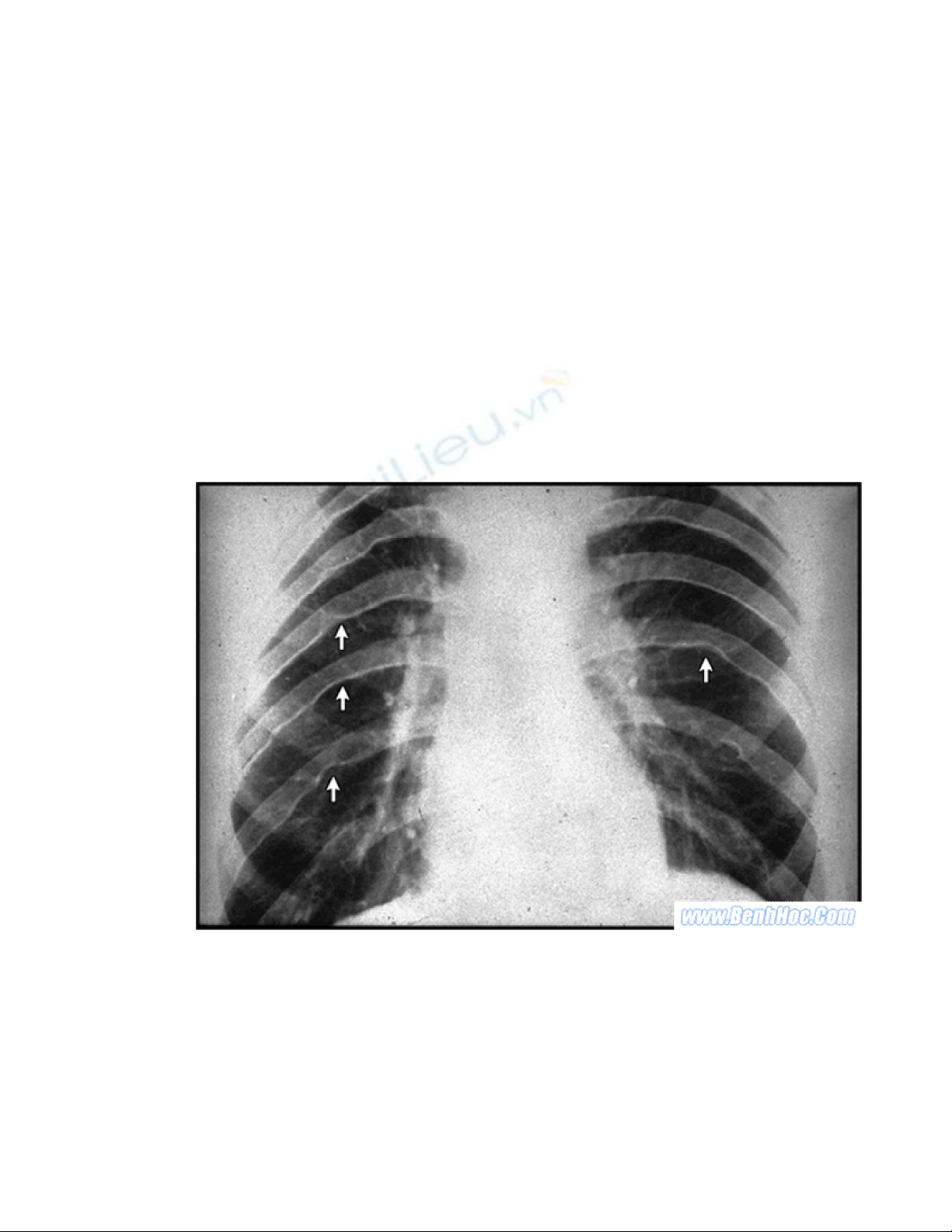
B. Xquang ngực: Có thể bình thờng hay biến đổi nhẹ với cung dới trái
giãn. Kinh điển có thể thấy dấu hiệu 3 cung ở động mạch chủ, quan sát thấy ở t thế
thẳng mặt. Sau vài tuổi có thể thấy các dấu hiệu đặc hiệu hơn nh: dấu ấn xơng sờn,
chỉ số tim ngực tăng rõ rệt.
Hình 32-1. “Dấu ấn sờn” trên phim tim phổi thẳng.
C. Nghiệm pháp gắng sức: Có thể thấy dấu hiệu tăng huyết áp tâm thu ở
các bệnh nhân hẹp eo ĐMC.

D. Siêu âm Doppler tim: Là xét nghiệm quyết định chẩn đoán ở trẻ nhỏ,
tuy nhiên có thể gặp khó khăn ở các bệnh nhân lớn tuổi.
1. Siêu âm TM xác định độ dày của các vách tim, sức co bóp của tâm thất
trái.
2. Siêu âm Doppler mầu và siêu âm 2D cho phép xác định vị trí và hình thái
của chỗ hẹp eo ĐMC, đặc biệt là ở trẻ nhỏ. Siêu âm Doppler khẳng định chẩn
đoán và đo mức độ chênh áp qua eo ĐMC.
3. Siêu âm còn giúp loại trừ hay phát hiện ra các tổn thơng phối hợp. Đặc
biệt cần phát hiện một số bất thờng nh van động mạch chủ có hai lá van, hẹp van
hai lá, tắc nghẽn đờng ra thất trái và thông liên thất phối hợp.
4. Cần chú ý quan sát trên siêu âm để phát hiện các tổn thơng của động
mạch chủ bụng, cung động mạch chủ và các mạch máu ở vùng đầu và cổ. Siêu âm
cũng có thể phát hiện sự tồn tại của ống động mạch cũng nh các tuần hoàn bàng hệ
nếu có.
E. CT Scanner xoắn ốc, 3 chiều và cộng hởng từ trờng hạt nhân (MRI)
là những thăm dò rất hữu ích cho việc xác định hình thái của chỗ hẹp eo ĐMC, các
tổn thơng phối hợp, dạng hẹp eo ĐMC với các nhánh của động mạch dới đòn, có
hay không có tuần hoàn bàng hệ. Với các thế hệ máy mới chúng ta còn có thể

