
Chương 5: Sinh học động vật
1. Tổ chức cơ thể động vật
1.1. Cấu trúc tế bào, mô
1.2. Các hệ cơ quan
2. Quá trình trao đổi và chuyển hoá vật chất
2.1. Tiêu hoá
2.2. Hô hấp
2.3. Bài tiết
2.4. Tuần hoàn
2.5. Trao đổi năng lượng
3. Quá trình sinh sản
3.1. Cơ quan sinh dục
3.2. Các hình thức sinh sản

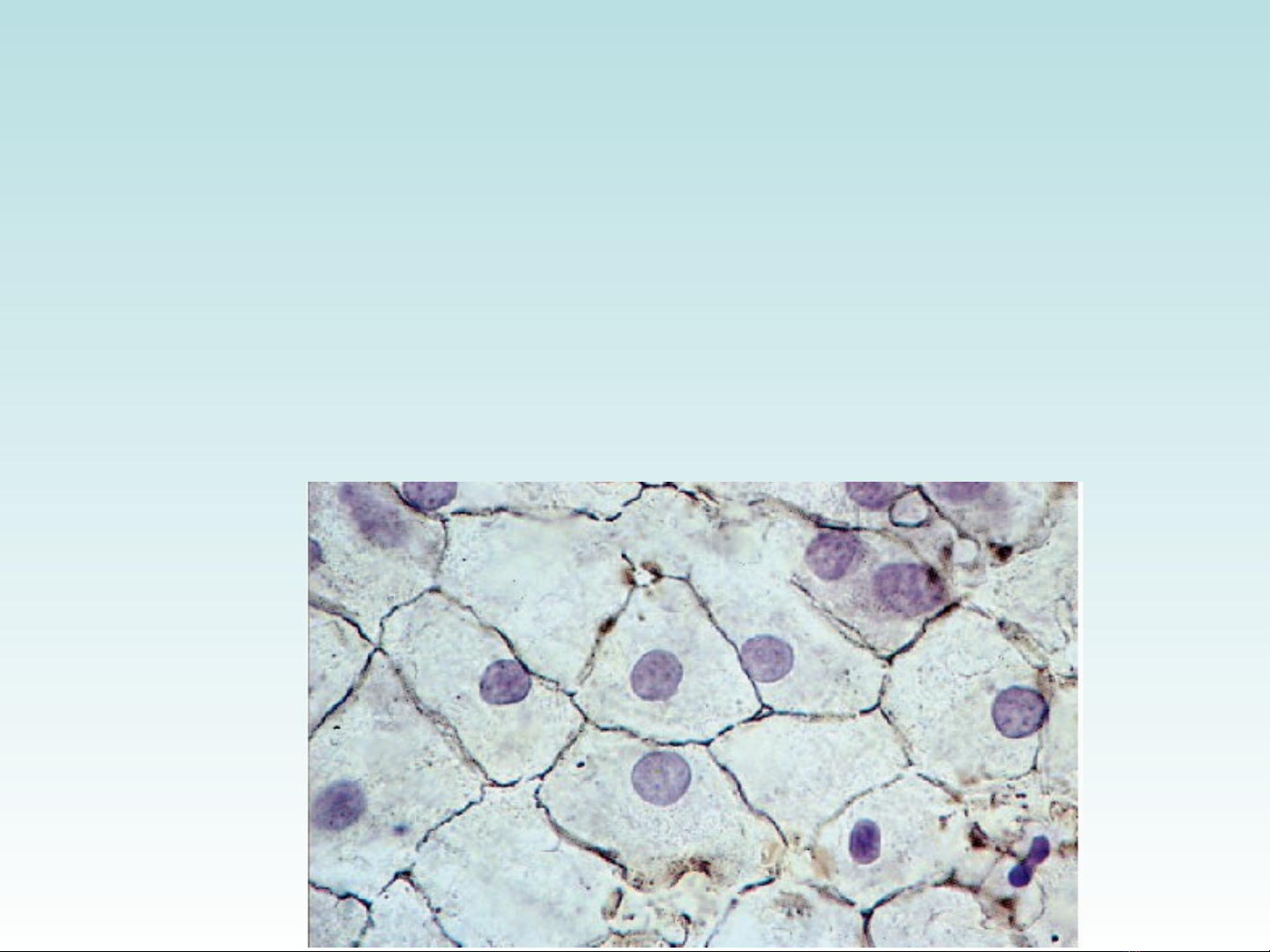
1. T ch c c th đng v tổ ứ ơ ể ộ ậ

a. Biểu mô
Các tế bào biểu mô thường được chia làm 3
loại:
•Tế bào lát có dạng đĩa mỏng, dẹp
•Tế bào khối có dạng hình khối (quan sát
trên lát cắt dọc) hoặc hình lục giác (quan
sát trên lát cắt ngang)
•Tế bào trụ có dạng hình chữ nhật (quan
sát lát cắt ngang).


Biểu mô lát đơn
Có ở vùng túi khí của phổi, thận, bao tim, mạch
máu và mạch bạch huyết
Cho phép các vật chất đi qua bằng cách thẩm
thấu và lọc

