
U QUÁI GIÁP BUỒNG TRỨNG
TÓM TẮT
Mở đầu : u quái giáp buồng trứng phối hợp với báng bụng, CA 125 tăng cao
là trường hợp rất hiếm gặp.
Trường hợp : một phụ nữ 59 tuổi có u buồng trứng 2 bên, báng bụng và
CA125 tăng cao, suit cân nhiều trong vòng một tháng. Những triệu chứng này
khiến nghĩ nhiều đến ung thư buồng trứng. Kết quả giải phẫu bệnh lý là u quái
gáip buồng trứng, một u quái đặc biệt của buồng trứng bao gồm phần lớn là mô
tuyến giáp trưởng thành. Không tìm thấy tế bào lạ trong dịch báng bụng.
Kết luận: U quái giáp buồng trứng là nguyên nhân rất hiếm gây báng bụng
và CA125 tăng cao.
ABSTRACT
Background : Struma ovarii associated with ascites and elevated CA125 is
a rare condition.
Case : A 59-year-old patient presented with right and left ovarian masses,
ascites and elevated CA125 level associated with loosing weight more than 4kg
per month. These findings were suspicious for an ovarian malignancy.
Histopathology of the removal ovarian masses revealed struma ovari, a specialized

ovarian teratoma composed predominantly of mature thyroid tissue. Negative
cytology is presented.
Conclusion : Struma ovarii is a very rare cause of ascites and elevated
CA125 level.
ĐẶT VẤN ĐỀ
U tế bào mầm chiếm tỷ lệ 15-20% của tất cả u buồng trứng, đa phần là u
quái trưởng thành(4,5,8). Mô tuyến giáp lành tính được tìm thấy trong 5-15% các
trường hợp u quái trưởng thành của buồng trứng và khi mô tuyến giáp chiếm hơn
50% u quái thì được gọi là u quái giáp buồng trứng (struma ovarii). U quái giáp
buồng trứng chỉ chiếm 2% của tất cả u quái trưởng thành và có thể chuyển biến
thành ác tính trong ít hơn 5% của tất cả các trường hợp u quái giáp buồng
trứng(4,5,8,13) và ngay cả khi ác tính u cũng ít khi cho di căn(15). Trong y văn rất ít
trường hợp u quái giáp buồng trứng có kèm theo triệu chứng giả Meigs và chỉ có 2
trong 6 trường hợp có tăng nồng độ CA125. Chúng tôi mô tả một trường hợp u
quái giáp buồng trứng lành tính có kèm theo báng bụng, CA125 tăng cao nhưng
không có tràn dịch màng phổivà trên lâm sàng rất dễ nhầm với ung thư buồng
trứng.
TRƯỜNG HỢP
Một phụ nữ 59 tuổi, đã từng sanh 8 lần , mãn kinh 9 năm đến khám tại
phòng khám Bệnh viện Đại học Y Dược TP Hồ Chí Minh vào cuối tháng 5/2006
vì sụt cân nhiều (4kg/tháng), ăn không tiêu, bụng to nhanh, đau trằn hạ vị. Tiền

căn có sốt rét. Tổng trạng trung bình, niêm mạc hồng nhạt. Khám lâm sàng có
bướu giáp đơn thuần lan toả; bụng có tuần hoàn bàng hệ, gõ đục toàn vùng bụng,
có dấu sóng vỗ cho thấy báng bụng, u buồng trứng hai bên với u buồng trứng bên
phải to hơn , đường kính # 10-11cm, chắc, giới hạn rõ, di động, không dính, không
đau, u buồng trứng bên trái có đường kính #7-8cmvới tính chất tương tự. Hình ảnh
siêu âm đánh giá u buồng trứng type VIB nghĩ nhiều ung thư buồng trứng với một
nang gồm nhiều thuỳ, có thuỳ có vách ngăn, có chồi sùi trong lòng và ra ngoài bề
mặt (kích thước # 26x22mm), kích thước # 123x62mm, báng bụng (hình 1,2 ). Các
xét nghiệm sinh hoá, miễn dịch kể cả của tuyến giáp bình thường ngoại trừ có thiếu
máu nh5 (Hct = 33,6%) và đặc biệt CA125 tăng rất cao > 1000U/mL.
Bệnh nhân được phẫu thuật vào ngày 1/6/2006 thám sát, cắt tử cung toàn
phần và hai phần phụ có u buồng trứng, mạc nối lớn và lấy dịch ổ bụng tìm tế bào
lạ.Trong phẫu thuật ghi nhận có đến 6 lít dịch vàng trongtrong ổ bụng và u buồng
trứng cả hai bên với bên phải to # 15x10x8cm, nhiều thuỳ, chắc, xâm lấn vỏ bao,
không dính và bên trái nhỏ hơn d#8cm, không xâm lấn vỏ bao. Tử cung và hai vòi
trứng bình thường, gan – dạ dày – mạc nối lớn bình thường. Giải phẫu bệnh lý sau
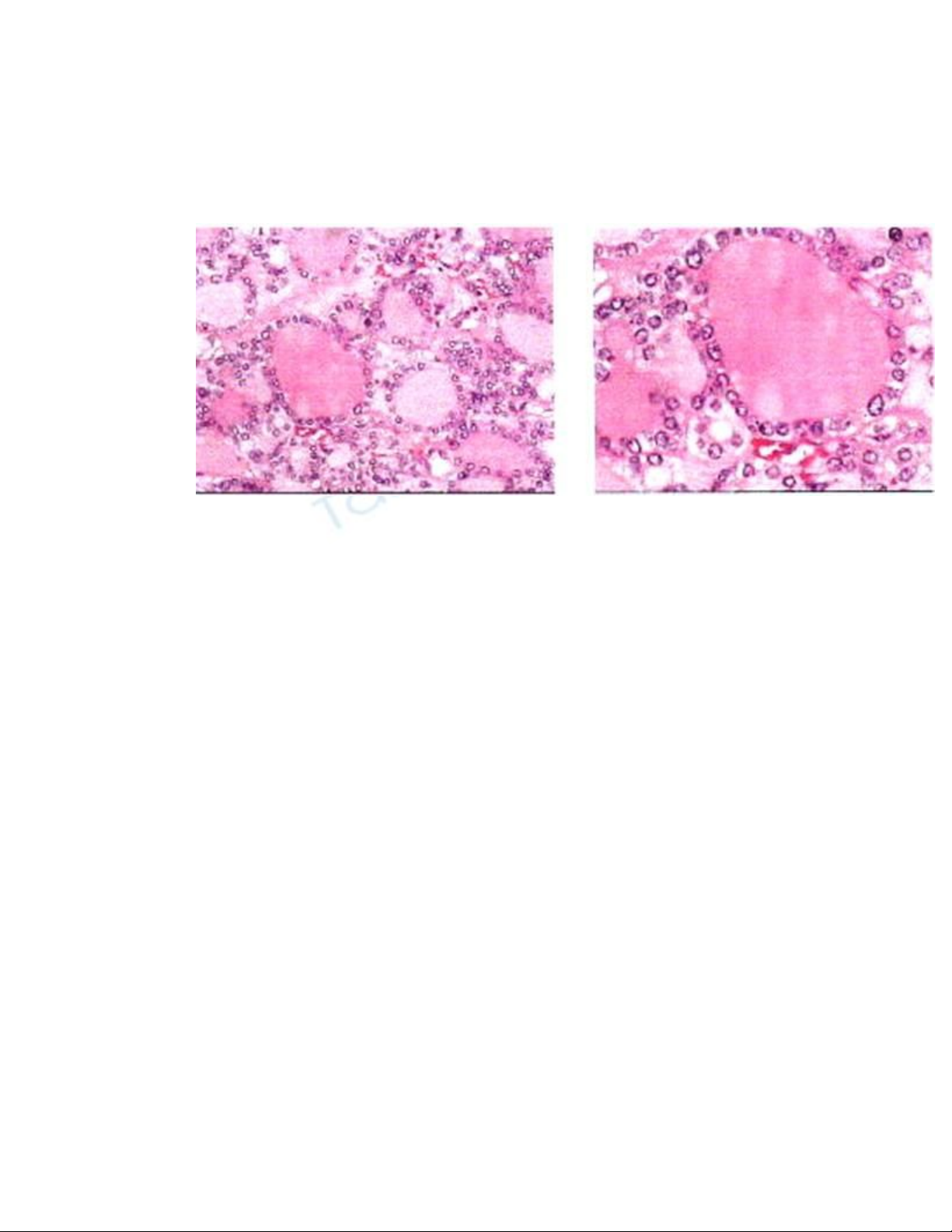
mổ là u quái giáp buồng trứng (hình 3) và không tìm thấy tế bào lạ trong dịch ổ
bụng. Bệnh nhân hồi phục nhanh, xuất viện sau 5 ngày. Bệnh nhân có trở lại tái
khám hai lần từ sau khi xuất viện (táhng 7/2006 , tháng 9/2006) với tình trạng ổn
định, không tái phát báng bụng và CA125 giảm xuống mức bình thường.

BÀN LUẬN
U quái giáp buồng trứng được Von Kalden mô tả lần đầu tiên vào năm
1895(16). mặc dù có mô tuyến giáp nhưng chỉ có 5% các trường hợp u quái giáp
buồng trứng có triệu chứng cường giáp(11). Báng bụng hiện diện trong 1/3 các
trường hợp(1).
Meigs và Cass đã mô tả tình trạng có u buồng trứng (u xơ – thecoma) kết
hợp báng bụng, tràn dịch màng phổi và các triệu chứng này sẽ mất đi sau khi cắt
bỏ khối u buồng trứng lành tính. Vào năm 1954 Meigs giới hạn lại hội chứng
Meigs thật sự bao gồm u đặc, lành tính của buồng trứng có đại thể của u xơ buồng
trứng (u xơ buồng trứng, u tế bào hạt, thecoma) và báng bụng, tràn dịch màng
phổi. Nếu ácc loại u khác của buồng trứng kết hợp với những tiêu chí của Meigs
đề ra thì được gọi là hội chứng giả Meigs.Nguồn gốc của dịch trong cả hai hội

chứng Meigs và giả Meigs vẫn chưa rõ mặc dù có nhiều cơ chế đã được đưa ra
như tiết dịch của bản thân u hay phúc mạc, tắc nghẽn tĩnh mạch và/hoặc hệ bạch
huyết, đạm trong huyết thanh thấp, hiện diện của các độc tố, các sản phẩm của quá
trình viêm nhiễm...
Trường hợp của chúng tôi không đủ các triệu chứng của hội chứng giả
Meigs vì thiếu triệu chứng tràn dịch màng phổi. Trong y văn rất ít báo cáo về u
quái giáp buồng trứng kết hợp báng bụng và tăng CA125. CA125 trong trường
hợp của chúng tôi tăng quá cao >1000 U/mL so với hai trường hợp u quái giáp
lành tính đã được báo cáo của Vera Loizzi(12) là 161 U/mL và Julie J. Hugh(6) là
402 U/mL và tương đương với một báo cáo u quái giáp buồng trứng ác tính của
Zannoni(18) là 1636 U/mL. Tuy nhiên trường hợp u quái giáp ác tính của Bolat(2)
được xác định bằng mô học là ung thư tuyến dạng nhú xuất phát từ u quái giáp
buồng trứng thì CA125 lại bình thường.
U buồng trứng kết hợp với CA125 tăng cao trên một phụ nữ hậu mãn kinh
khiến chúng ta nghĩ nhiều đến bệnh lý ác tính. Trong một loạt nghiên cứu của
Conell và cộng sự(3) giá trị tiên lượng của CA125 > 35 U/mL là 60% đối với ung
thư buồng trứng và 84% đối với các loại ung thư khác. Gần đây nhiều báo cáo
nhận định CA125 tăng cao trong một số trường hợp hội chứng Meigs(7,10,17). Leung
và Hammond(9) ghi nhận sự kết hợp của u quái giáp buồng trứng và gia tăng
CA125 rất hiếm gặp và trong cả hai trường hợp của tác giả chỉ có báng bụng mà
không có tràn dịch màng phổi. Bệnh nhân của chúng tôi có nhiều yếu tố dẫn đến

