
§C PTTK H×nh ¶nh CT CTSN
CT TRONG CHẨN ĐOÁN CHẤN THƯƠNG SỌ NÃO
1. Néi dung:
- Ph¸t hiÖn ®−îc c¸c xuÊt huyÕt trong sä(n·o, mµng n·o, m¸u tô)
- M«t t¶ c¸c triÖu chøng sím cña nhåi m¸u n·o
- Ph¸t hiÖn ®−îc huyÕt khèi trong lßng ®éng m¹ch
- ChÈn ®o¸n ®éng m¹ch bÞ tæn th−êng
- X¸c ®Þnh ®−îc møc ®é tæn th−¬ng
- Ph¸t hiÖn triÖu chøng tho¸t vÞ thuú th¸i d−¬ng
2. Giá trị chẩn đoán cña CT Scan
• Thăm khám lâm sàng không phân biệt được nhồi máu não và xuất huyết não
• CT Scan phát hiện ngay các hình ảnh xuất huyết não, máu tụ , xuất huyết màng não (
95%)
• CT Scan có thể phát hiện các hình ảnh bất thường trong vòng 3 giờ sau khi nhồi máu
não ( 50% )
• Xét nghiệm giúp chẩn đoán nhanh, chính xác, an toàn và sẵn có trong các trường hợp
tai biến mạch máu não
3. Sinh lý bệnh
• Ðộ hấp thu tia X được đo trên CT scan bằng đơn vị Hounsfield ( Hu )
• Nước : 0 Hu
• Xương : 1000 Hu
• Không khí : -1000 Hu
• Chất xám : 35-40 Hu
• Chất trắng : 20 Hu
• Xuất huyết : 40-90 Hu
• Vôi hóa : >120 Hu
• Đậm độ cũa CT scan tùy thuộc vào tỉ trọng cũa mô não ( độ hấp thu tia X )
• Hiện tượng thiếu máu gây phù tế bào não và làm tăng lượng nước chứa trong mô và
giảm đậm độ
• Chỉ cần thay đổi 1% lượng nước trong nhu mô thì CT sẽ thay đổi từ 2.5-2.6 Đơn vị
Hounsfield
• Mắt thường có thể nhận thấy sự thay đổi 1 Hu nên có thể nhận thấy được tổn thương.
4. Các thay đổi cña CT Scan
• Hiện tượng giảm đậm độ xuất hiện và tăng dần theo thời gian thiếu máu não
• Sự giảm đậm độ thay đổi tùy theo vùng tổn thương và độ nặng cũa tình trạng thiếu
máu
Ng. QUang Toµn_DHY34 - 1 -

§C PTTK H×nh ¶nh CT CTSN
• Lưu lượng máu < 9 ml/100grams não/phút
→ Hoại tử = phù não = giảm đậm độ
• Các vùng chung quanh vùng hoại tử là vùng thiếu máu nhưng còn có khả năng hồi
phục. Tû träng c¸c vïng nµy nh− sau:
5. Kü thuật CT Scan
- Lớp cắt dầy 2 mm, cửa sổ nhu mô (do khả năng phân biệt độ đậm nhạt cũa mắt)
- Khoãng cách hai lớp cắt là
4 mm với hố sau
2 mm vùng hố yên
8 mm ở bán cầu
- Khảo sát không dùng thuốc cản quang
Ng. QUang Toµn_DHY34 - 2 -

§C PTTK H×nh ¶nh CT CTSN
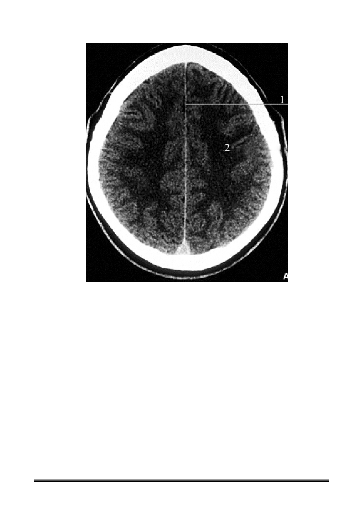
1: LiÒm n·o
2: Trung t©m bÇu dôc
Ng. QUang Toµn_DHY34 - 3 -

§C PTTK H×nh ¶nh CT CTSN
Ng. QUang Toµn_DHY34 - 4 -

§C PTTK H×nh ¶nh CT CTSN
Ng. QUang Toµn_DHY34 - 5 -

