
1
BEÄNH UOÁN VAÙN
TS. Nguyeãn Duy Phong - Boä moân Nhieãm

2
DAØN BAØI
1- Ñaïi cöông
2- Taùc nhaân gaây beänh: caên nguyeân
3- Caùc yeáu toá dòch teã
4- Quaù trình sinh beänh
5- Beänh caûnh laâm saøng - XN - chaån ñoaùn
6- Nguyeân taéc ñieàu trò
7- Nguyeân taéc phoøng ngöøa

3
1- Ñaïi cöông:
+ Beänh nhieãm truøng, nhieãm ñoäc.
+ Vi truøng qua veát thöông tieát ñoäc toá ñeán
daây thaàn kinh vaän ñoäng LS ñaëc tröng:
¤ Co cöùng cô vaân
¤ Co giaät toaøn thaân

4
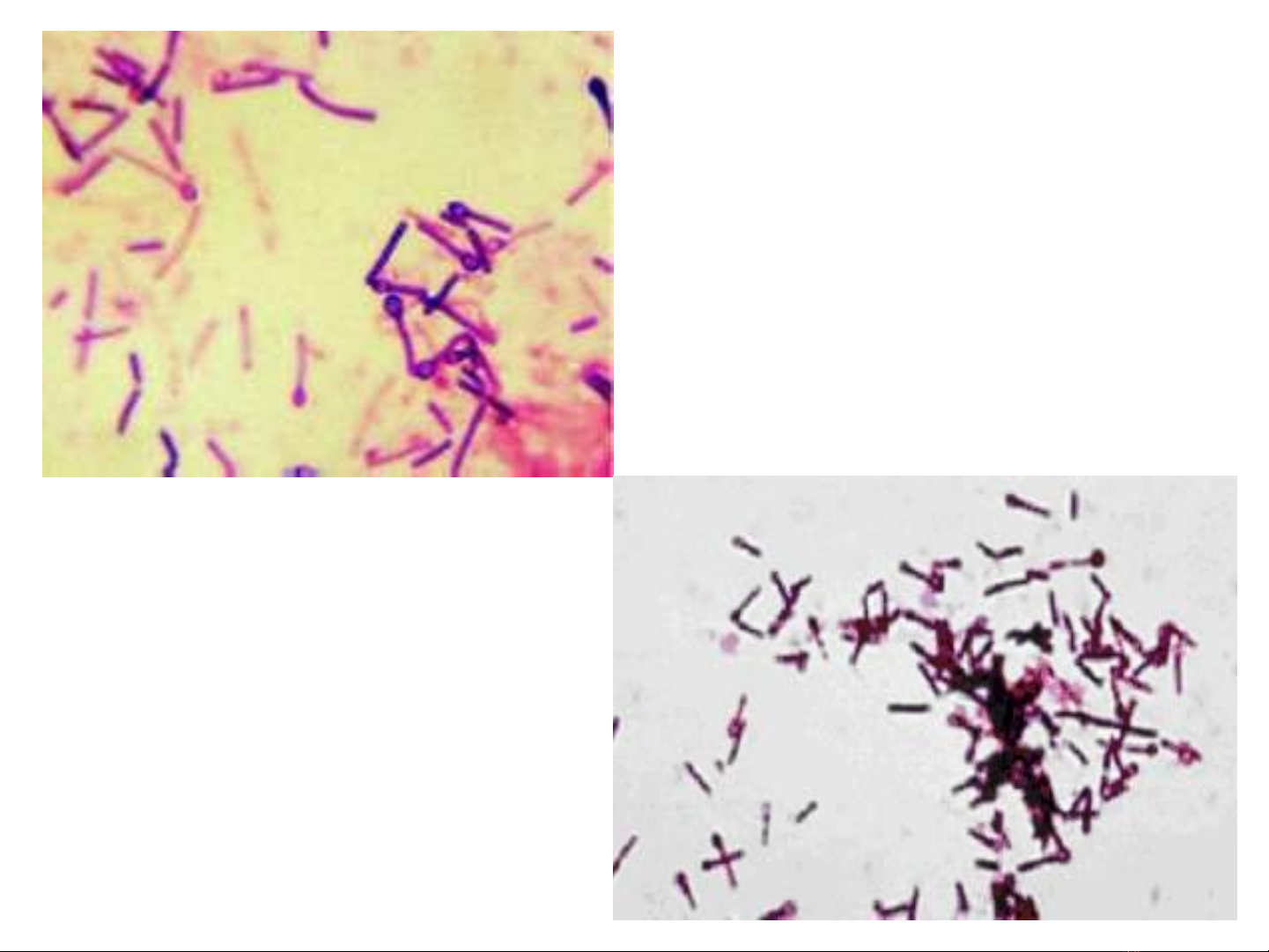
2- Taùc nhaân gaây beänh:
+ Tröïc khuaån Gram (+), yeám khí:
Clostridium tetani
+ Toàn taïi trong töï nhieân döôùi daïng baøo töû:
ñaát, buïi, phaân, ñöôøng ruoät ñoäng vaät …
+ Baøo töû ñeà khaùng cao, soáng nhieàu naêm
trong ñaát khoâ, thieáu aùnh saùng, thieáu khoâng khí

5
Clostridium tetani từvết thöông
hoại tử
Clostridium tetani tröïc khuaån
Gram (+), yeám khí

