
B GIÁO D C VÀ ĐÀO T O Ộ Ụ Ạ
B GIÁO D C VÀ ĐÀO T O Ộ Ụ Ạ TR NG Đ I H C S PH M TP ƯỜ Ạ Ọ Ư Ạ
TR NG Đ I H C S PH M TP ƯỜ Ạ Ọ Ư Ạ
HCM
HCM
KHOA SAU Đ I H C - NGÀNH SINH H C - KHÓA 18Ạ Ọ Ọ
KHOA SAU Đ I H C - NGÀNH SINH H C - KHÓA 18Ạ Ọ Ọ
Ng i th c hi n: LÊ TH HUườ ự ệ Ị Ệ
CHUYÊN Đ : SINH H C T BÀOỀ Ọ Ế
CHUYÊN Đ : SINH H C T BÀOỀ Ọ Ế
V N Đ : C U TRÚC TY THẤ Ề Ấ Ể
V N Đ : C U TRÚC TY THẤ Ề Ấ Ể
TP. H CHÍ MINH – 2/2008Ồ
SEMINA

N I DUNG TRÌNH BÀYỘ
C U TRÚC T NG THẤ Ổ Ể
C U TRÚC T NG PH NẤ Ừ Ầ 1. MÀNG NGOÀI
3. XOANG GIAN MÀNG
2. MÀNG TRONG
4. CH T N N TI THẤ Ề Ể
5. RIBOSOME TI THỂ
6. DNA TI THỂ
Đ C ĐI M CHUNGẶ Ể
S L C V S PHÁT SINH TI TH VÀ CH NG LO I PHÁT Ơ ƯỢ Ề Ự Ể Ủ Ạ
SINH

-Hình dạng: hình cầu, hình sợi,
biến đổi theo tình trạng sinh lí
của tế bào.
- Kích thước: tương tự kích thước
vi khuẩn (đường kính 0.2-1µm, dài
1-4 µm).
www.ruf.rice.edu
Probes.invitrogen.com
pulmonary artery endothelial cell

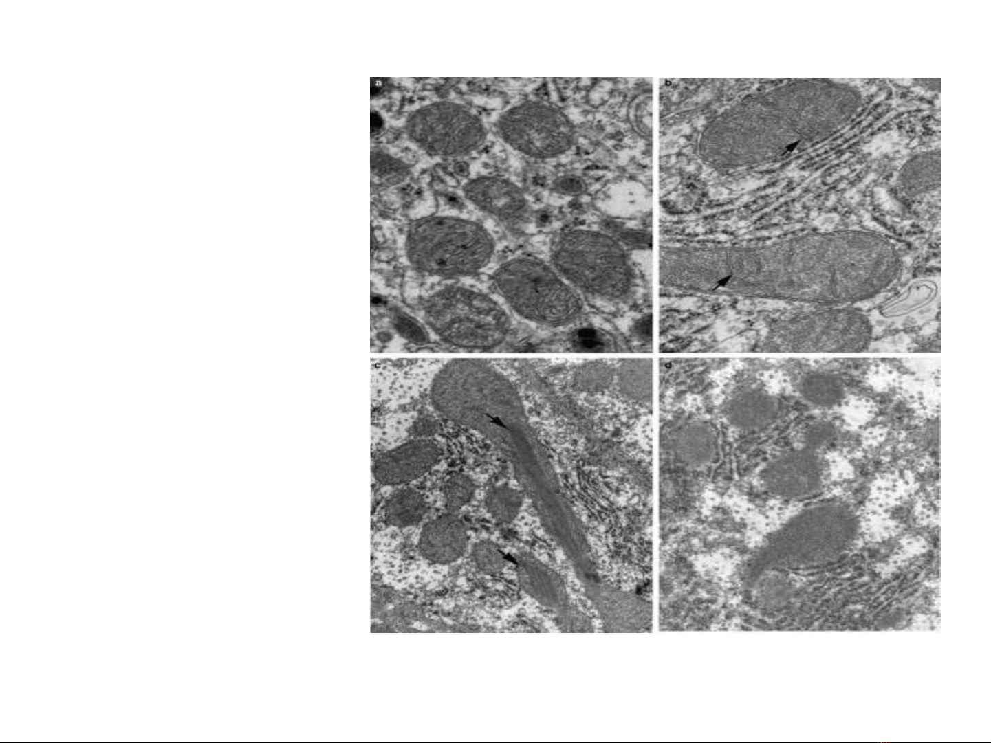
Hình ch p ti th trong t bào ụ ể ế ở
b nh nhân HIV-HCV.ệ
•Ti th bình th ng.ể ườ
•Ti th m t m t s m ng.ể ấ ộ ố ồ
•Ti th b l n ra ch a m ng ể ị ớ ứ ồ
kh ng l ổ ồ
•Ti th m t toàn b m ng và ể ấ ộ ồ
ch t n n b bi n đ i.ấ ề ị ế ổ
www.nature.com


