
Ch ng VIIươ
Sinh h c c th đ ng v tọ ơ ể ộ ậ
1. T ch c c th đ ng v tổ ứ ơ ể ộ ậ
1.1. C u trúc t bào, môấ ế
1.2. Các h c quanệ ơ
2. Quá trình trao đ i và chuy n hoá v t ch tổ ể ậ ấ
2.1. Tiêu hoá
2.2. Hô h pấ
2.3. Bài ti tế
2.4. Tu n hoànầ
2.5. Trao đ i năng l ngổ ượ
3. Quá trình sinh s nả
3.1. C quan sinh d cơ ụ
3.2. Các hình th c sinh s nứ ả

1. T ch c c th đ ng v tổ ứ ơ ể ộ ậ

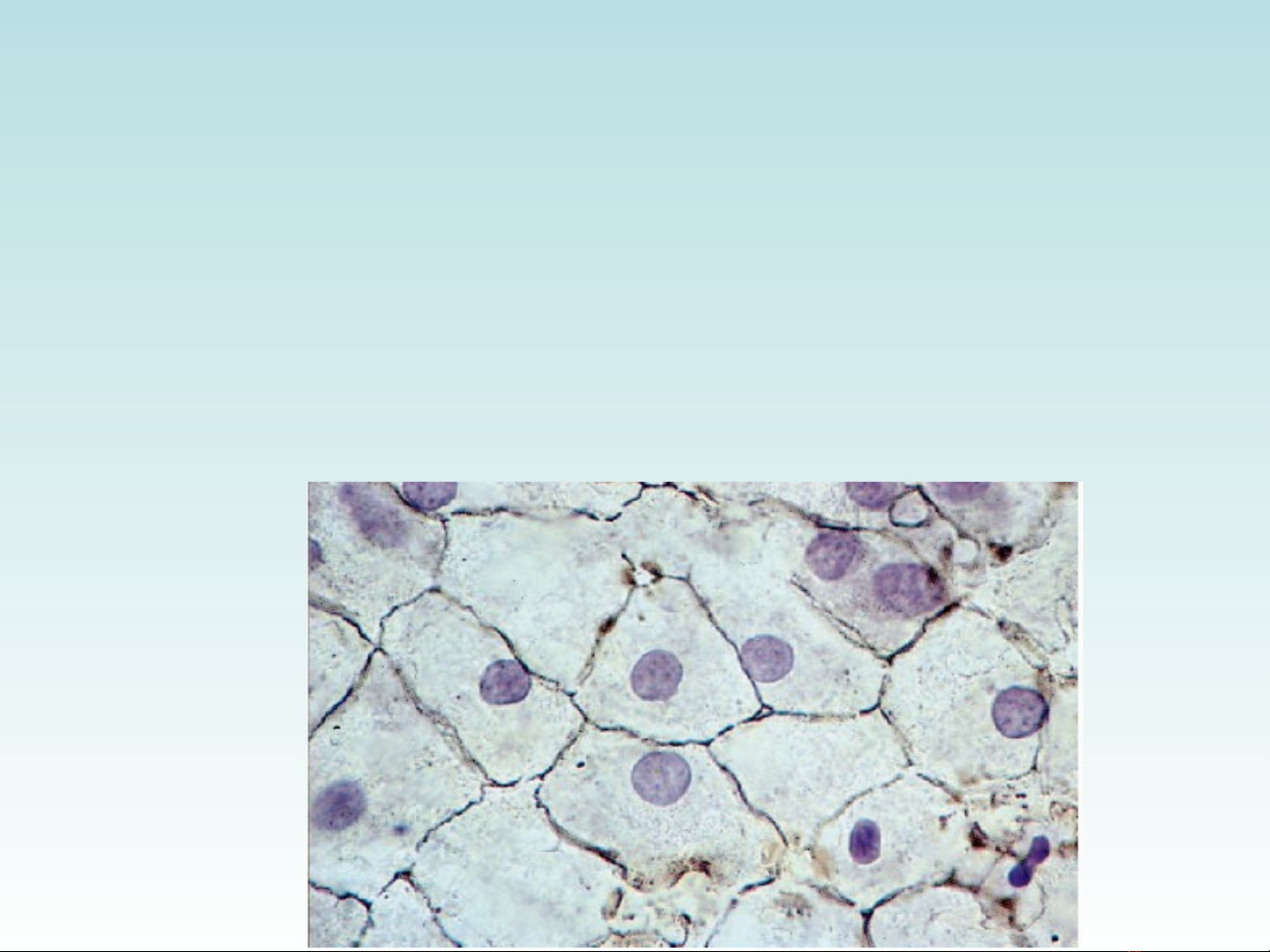
a. Bi u môể
Các t bào bi u mô th ng đ c chia làm 3 ế ể ườ ượ
lo i: ạ
•T bào lát có d ng đĩa m ng, d pế ạ ỏ ẹ
•T bào kh i có d ng hình kh i (quan sát ế ố ạ ố
trên lát c t d c) ho c hình l c giác (quan ắ ọ ặ ụ
sát trên lát c t ngang)ắ
•T bào tr có d ng hình ch nh t (quan ế ụ ạ ữ ậ
sát lát c t ngang). ắ

V trí c a bi u môị ủ ể

Bi u mô lát đ nể ơ
Có vùng túi khí c a ph i, th n, bao tim, m ch ở ủ ổ ậ ạ
máu và m ch b ch huy tạ ạ ế
Cho phép các v t ch t đi qua b ng cách th m ậ ấ ằ ẩ
th u và l cấ ọ

