
Nhà khoa h c đ u tiên phát hi n loài ký sinh trùng ọ ầ ệ
Nhà khoa h c đ u tiên phát hi n loài ký sinh trùng ọ ầ ệ
Trichinella spiralis, còn g i là giun bao, là loài ký sinh ọ
Trichinella spiralis, còn g i là giun bao, là loài ký sinh ọ
trùng r t nguy hi m v i tính m ng con ng i.ấ ể ớ ạ ườ
trùng r t nguy hi m v i tính m ng con ng i.ấ ể ớ ạ ườ
u trùngẤ
Trong s i cợ ơ

Chúng ta r t c n hi u bi t v đ c tính sinh h c ấ ầ ể ế ề ặ ọ
Chúng ta r t c n hi u bi t v đ c tính sinh h c ấ ầ ể ế ề ặ ọ
và đ c tính gây b nh c a giun bao ặ ệ ủ
và đ c tính gây b nh c a giun bao ặ ệ ủ
Trichinella spiralis
Trichinella spiralis
Sinh sôi n y nẩ ở
R t mãnh li tấ ệ
Khép kín chu kỳ
sinh s n trongả
c th con ng iơ ể ườ
Xuyên qua ru tộ
vào máu
Lên não
Vào tim
Vào máu
Phát tri nể
Trong cơ

Gian đo n trong ru tạ ộ
Gian đo n trong ru tạ ộ

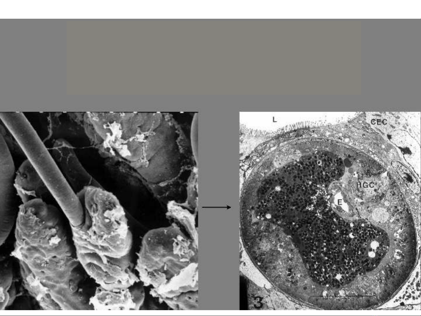
Giun bao t n t i trong ru t nh th nào?ồ ạ ộ ư ế
Giun bao t n t i trong ru t nh th nào?ồ ạ ộ ư ế
Giun bao r t nh , khi vào ru t non nó chui raấ ỏ ộ
Giun bao r t nh , khi vào ru t non nó chui raấ ỏ ộ
kh i kén và chui qua l p t bào thành ru tỏ ớ ế ộ
kh i kén và chui qua l p t bào thành ru tỏ ớ ế ộ

Khi chuôi qua niêm m c ru t thì u trùng L1 ti t ra ch t kích thíchạ ộ ấ ế ấ
Khi chuôi qua niêm m c ru t thì u trùng L1 ti t ra ch t kích thíchạ ộ ấ ế ấ
Và l y d ng ch t niêm m c ru t đ bi n thành u trùng L4.ấ ưỡ ấ ở ạ ộ ể ế ấ
Và l y d ng ch t niêm m c ru t đ bi n thành u trùng L4.ấ ưỡ ấ ở ạ ộ ể ế ấ
Sau đó bi n thành giun bao tr ng thành.ế ưở
Sau đó bi n thành giun bao tr ng thành.ế ưở

