
ValuedGatewayCustomer
ProducingTransgenicPlants
Kỹthuậtchuyểngientrên
thụcvật
Hiệnnay,diệntíchGMOtrênthếgiớikhoảng 215triệuacres
Câytrồngchuyểngien (GMO)

ValuedGatewayCustomer
ProducingTransgenicPlants
Gienlà1đoạn ADN mãhóa1loạiproteinchuyenbiệt
biểuhiện1tínhtrạng.
mRNA protein trait
transcription
translation
expression
Câytrồngchuyểngienlàgì?
•
Thuậtngữ‘chuyểngien’ (Transgenic) dùngđểchỉviệcđưagien
vào1đốitượngSVnàođóbằngKTADNtaitổhợp. Gienđược
chuyểntừcácloàikháchaytrongcùng1loài.
•
Từđồngnghĩa(Synonym):
Geneticallymodifiedorganism(GMO)
Genetically engineeredorganism(GEO)

ValuedGatewayCustomer
ProducingTransgenicPlants
Nhữngcâytrồngnàođượcpháttriểntừcácloàinày?
Bắp(corn) Càrốt(carrot) cảisalade(lettuce)
Nhữngcâytrồngnàođượcpháttriểntừcácloàinày?

ValuedGatewayCustomer
ProducingTransgenicPlants
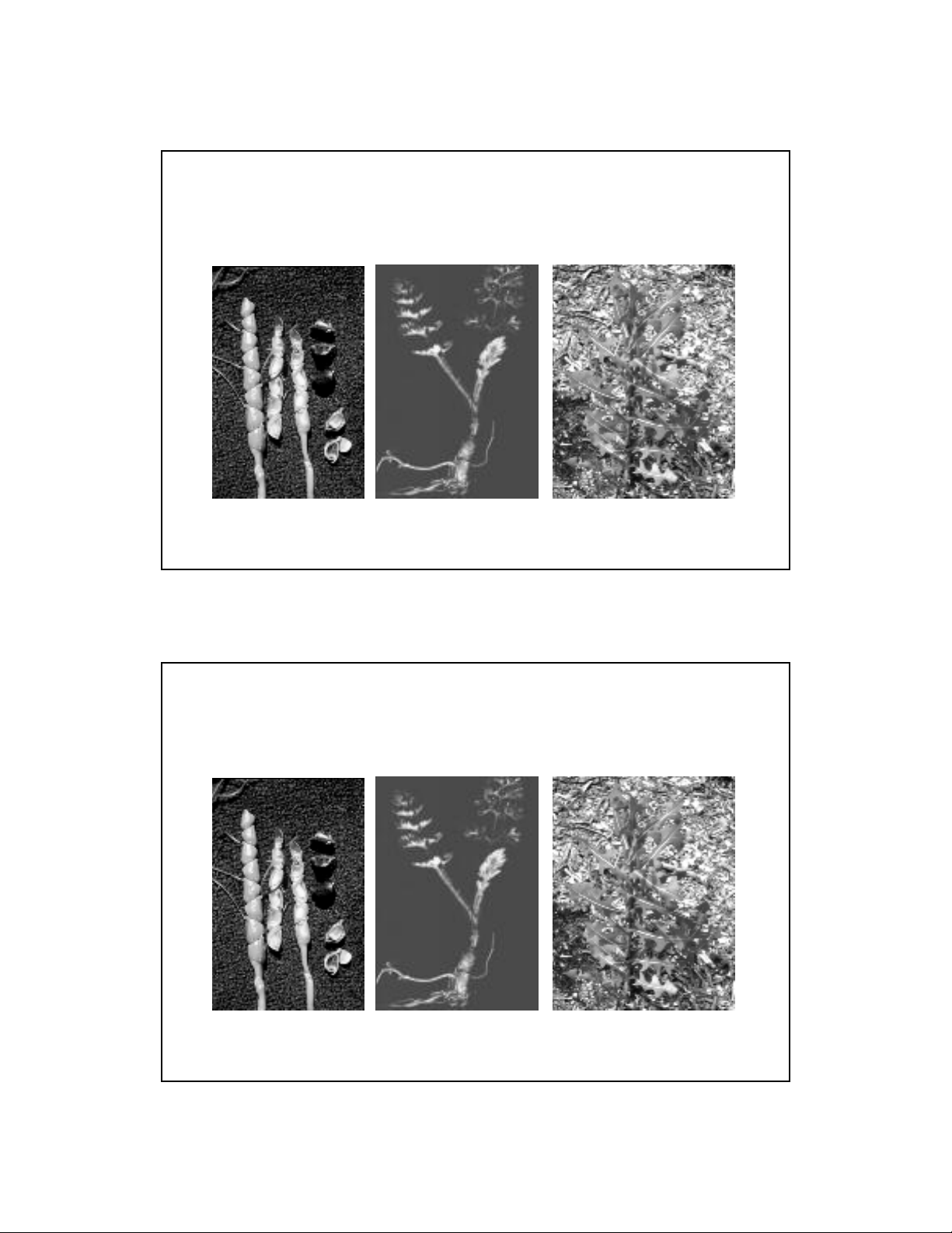
Teosinte Bắp(maize)

ValuedGatewayCustomer
ProducingTransgenicPlants
Từloàihoangdạitrởthànhloàitrồng
•Mấtkhảnăngpháttánhạttựnhiên
(rụng,lông,gai...)
•Nảymầmnhanh
•Hạtlớn
•Chínđồngloạt
•Mấtkhảnangtựbarovệtrong
môitrườngtựnhiên
•Màusắcthayđổi
•Khôngcònchấtđộchoặcvịđắng
Source:Damania,2008
Thuầnhóa
(Domestication)
Quátrìnhchọngiốnggồm2bướccơbản
I.Tạora (hoặcnhậndiện) cácdạngbiếndị.
•
Thuthậptừnơihoangdạihayruộngnôngdân
•
Laitạo (laigiữa2haynhiềucây)
•
Gâyđộtbiến,hoặcđabội
II.Chọnlựacáctínhtrạngmongmuốn.
Cácđặctínhđầutiênđượcnhàchọngiốngquantâmtrong
quátrìnhthuầnhóalà:hạtto,khôngbịngủđông,vàkhôngbị
rụnghạt.

