
BÀI T NG H PỔ Ợ
M T S VI SINH V T GÂY B NH QUA S AỘ Ố Ậ Ệ Ữ
I. M Đ UỞ Ầ
S a là m t th c ph m r t b d ng, giàu carbohydrate, ch t đ m, ch tữ ộ ự ẩ ấ ổ ưỡ ấ ạ ấ
béo, vitamin và khoáng ch t, nó có nh h ng t i nguy c s c kh e c a ng iấ ả ưở ớ ơ ứ ỏ ủ ườ
tiêu dung. Ch t l ng s a có th b gi m xu ng b i m t s y u t trong quáấ ượ ữ ể ị ả ố ở ộ ố ế ố
trình tr c và sau khi v t s a. Trong quá trình nuôi, v t s a, v n chuy n hay chướ ắ ữ ắ ữ ậ ể ế
bi n có th làm cho s a b nhi m m t s vi sinh v t gây b nh nhế ể ữ ị ễ ộ ố ậ ệ ư
Mycobacterium tuberculosis( gây b nh lao), Brucella bovis( gây b nh Brucellosis),ệ ệ
Listeria monocytogenes (gây Listeriosis), Staphylococcus aureus(sinh ngo i đ c tạ ộ ố
b n nhi t), ề ệ Echerichia Coli( gây tiêu ch y)…ả
Cũng c n chú ý t i các loài Aspergillus, Fusarium, và Penicillium, chúng cóầ ớ
th phát tri n trong s a và các s n ph m t s a. N u đi u ki n cho phép vi cể ể ữ ả ẩ ừ ữ ế ề ệ ệ
s n xu t mycotoxin nào có th là m t m i nguy hi m s c kh e.ả ấ ể ộ ố ể ứ ỏ
II. M T S VI SINH V T GÂY B NH QUA S AỘ Ố Ậ Ệ Ữ
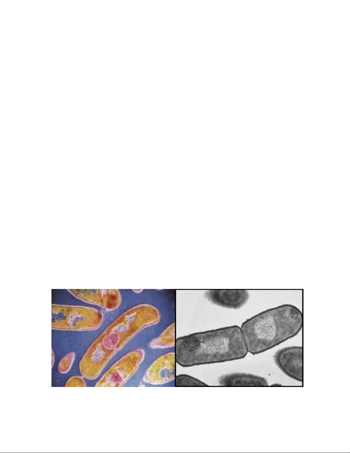
1. Listeria monocytogenes gây b nh Listeriosisệ
•L.
monocytogenes đ c mô t l n đ u b iượ ả ầ ầ ở
EGDMurray năm 1926.
•L.
monocytogenes là m t lo i vi khu n n i bào, làộ ạ ẩ ộ
tác nhân gây b nh Listeriosisệ
•L.
monocytogenes là m t lo i vi khu n Gramộ ạ ẩ +,
ph bi n r ng rãi trong t nhiên, gây b nh Listeriosis. B nh hi m g p nh ng cóổ ế ộ ự ệ ệ ế ặ ư
th gây t vong c tính kho ng 25-30% và 40% đ l i các di ch ng th n kinh.ể ử ướ ả ể ạ ứ ầ
•Nhi m trùng do ễL. monocytogenes gây ra các
b nh listeriosis. Nh ng bi u hi n c a listeriosis bao g m nhi m trùng huy t,ệ ữ ể ệ ủ ồ ễ ế

viêm màng não (ho c meningoencephalitis), viêm não, loét giác m c, viêm ph i,ặ ạ ổ
và intrauterine ho c nhi m trùng c t cung ph n mang thai, có th d n đ nặ ễ ổ ử ở ụ ữ ể ẫ ế
thai ch t non. ế
•Phát tri n ch m nhi t đ th p kho ng 4°Cể ậ ở ệ ộ ấ ả ở
- 45°C (t i u 30-37 ° C), là m t vi khu n k khí, lên men glucoza và aesculin.ố ư ộ ẩ ỵ
•Đ i kháng v i môi tr ng NaCl (10%), 40%ố ớ ườ
m t, ho c tellurite kali (0,5%), ho c thu c sát trùng khác. ậ ặ ặ ố
•D dàng b phá h y b i nhi t 55 ° C trong 30ễ ị ủ ở ệ ở
phút, 1-2 phút 100 ° C. ở
•5,6 < pH <9,6 (t i u pH 7.2-7.6), r t nh yố ư ấ ạ
c m v i đ pH.ả ớ ộ
•M t s lo i th c ph m có nguy c : charcuterieộ ố ạ ự ẩ ơ
(pate, rillettes, th t l n l i, x t nh bít t t ...), m t s s n ph m t s a (phô maiị ợ ưỡ ắ ỏ ế ộ ố ả ẩ ừ ữ
s a nguyên ...), hút m t s cá (cá h i ...), m t s lo i rau (súp v i c i b p, đ uữ ộ ố ồ ộ ố ạ ớ ả ắ ậ
nành ...) . Th c ph m d n đ n listeriosis th ng b ô nhi m cao (> 105 / g).ự ẩ ẫ ế ườ ị ễ
•B i vì L. monocytogenes là m t ký sinh n iở ộ ộ
bào, m t s nghiên c u đã s d ng vi khu n này nh là m t véc t đ cung c pộ ố ứ ử ụ ẩ ư ộ ơ ể ấ
gen trong ng nghi m.ố ệ

Listeria monocytogenes
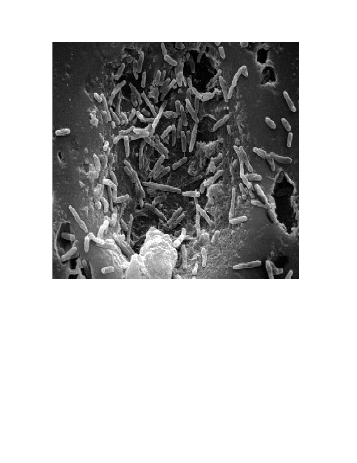
2. Mycobacterium tuberculosis gây b nh laoệ
L n đ u tiên đ c miêu t ngày 24 Tháng 3 năm 1882 b i Robert Koch, làầ ầ ượ ả ở
ng i đã nh n đ c gi i Nobel v sinh lý h c ho c y h c cho phát hi n vào nămườ ậ ượ ả ề ọ ặ ọ ệ

1905, vi khu n này còn đ c g i là bacillus Koch's.ẩ ượ ọ

•M.tuberculosis ph c t p bao g m m t s loài,ứ ạ ồ ộ ố
t t c có l xu t phát t m t đ t vi khu n:ấ ả ẽ ấ ừ ộ ấ ẩ
Mycobacterium
tuberculosis
Mycobacterium bovis-
unpasteurized s a ữ
Mycobacterium bovis-BCG : dùng đ đi u trể ề ị
ung th bàng quang ư
Mycobacterium africanum và Mycobacterium
Canetti
5 Mycobacterium microti : Gây b nh cho đ ngệ ộ
v t g m nh m ậ ặ ấ
•Sinh v t này là m t microaerophile.ậ ộ
•Là tác nhân c a b nh lao trong etiologic bò.ủ ệ
•Trên 60% s t bào mycobacteria là lipid. Cácố ế
ph n lipid c a các t bào bao g m ba thành ph n chính, các axit mycolic, dây y uầ ủ ế ồ ầ ế
t , và sáp-D.ố
•B c x : b t ho t b i ánh sáng m t tr i.ứ ạ ấ ạ ở ặ ờ
•Là vi khu n hình que, hi u khí.ẩ ế
•Nhi t đ phát tri n 37-38ệ ộ ể 0C.
•D ch Mycobacterium th ng đ c gây ra b iị ườ ượ ở
các ch ng hypervirulent c a M.ủ ủ tuberculosis.
•M. tuberculosis đ c đ c tr ng b i caseatingượ ặ ư ở
h t Langhans có ch a các t bào kh ng l , trong đó có m t “móng ng a” mô hìnhạ ứ ế ổ ồ ộ ự
Scientific classification
Kingdom: Bacteria
Phylum: Actinobacteria
Order: Actinomycetales
Suborder: Corynebacterineae
Family: Mycobacteriaceae
Genus: Mycobacterium
Species: M. tuberculosis

